Dental implants are a transformative solution for individuals seeking to replace missing teeth with a durable, natural-looking alternative. At Huntington Beach Oral & Maxillofacial Surgery, we specialize in providing high-quality dental implant treatments tailored to meet each patient’s unique needs. From the initial consultation to the final restoration, our goal is to restore your smile and improve your overall oral health.

Healthy gums form the foundation for a healthy smile. Periodontitis, or advanced gum disease, develops when bacterial plaque causes inflammation that spreads below the gum line. Over time, this infection can lead to bone loss, tooth mobility, and even tooth loss if left untreated.

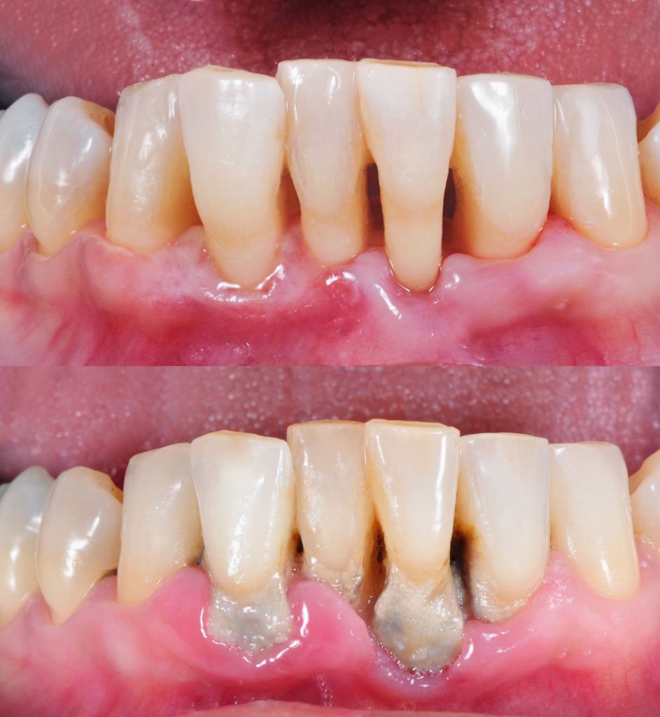
Early Diagnosis and Comprehensive

At CITIDental West Roxbury, we focus on early diagnosis and comprehensive management of periodontal disease. For mild to moderate cases, we often recommend Scaling and Root Planing (SRP), which involves deep cleaning below the gums to remove plaque, tartar, and bacterial toxins. This helps the gums heal and reattach to the teeth.

Osseous Surgery

For more advanced stages, osseous surgery may be necessary to reshape bone and eliminate deep pockets that harbor bacteria. Our approach combines modern techniques with gentle care to restore gum health and comfort.

In addition to clinical treatment, we emphasize ongoing maintenance. Routine periodontal cleanings, improved home care habits, and regular monitoring can make a tremendous difference in long-term outcomes.

By addressing gum disease early, patients can protect both their teeth and the underlying bone structure, ensuring a healthier and more stable smile for years to come.professional cleanings and at-home care to keep your gums healthy and stable.

Monday: 9 AM – 6 PM
Tuesday: 8AM – 5PM
Wednesday: 9 AM – 6 PM
Thursday: 8AM – 5PM
Friday: 8AM – 5PM
Saturday and Sunday: Closed